لاواژ ریه

دریافت مسیر

تصویر

لاواژ ریه

لاواژ ریه یا شستشوی کامل هر دو ریه ریه برای درمان بیماران مبتلا به رسوب پروتئین و لیپوپروتئین در ریه یا آلوئولار پروتئینوز (PAP) انجام می‌شود. شستشوی کامل هر دو ریه با حدود ۲۰ لیتر سرم نمکی و تحت بیهوشی کامل انجام می شود.

رسوب پروتئین در ریه چیست؟

در بیماران آلوئولار پروتئینوز به علل متعدد مواد پروتئینی و لیپوپروتئینی در ریه رسوب می کند. علت این بیماری و اولین علامت آن عدم کارکرد سیستم پاک‌سازی ریه (ماکروفاژها) است. تجمع این مواد مانع جذب اکسیژن از ریه به خون می شود و اولین علامت تنگی نفس و کبود شدن لب ها حین فعالیت است.

انواع آلوئولار پروتئینوز

1. خود ایمنی (اتوایمیون)

2. نوع ثانویه آن به علت مواجه با مواد شیمیایی، گردوغبار، عفونت های ویروسی و باکتریایی

3. مادرزادی بودن به علت موتاسیون ژنی

این بیماری چقدر شایع است؟

پروتئینوز ریوی یک بیماری نادر در بین بیماری های ریوی محسوب می شود که خوشبختانه امروزه در ایران قابل درمان است.

علائم بیماری پروتئینوز ریوی چیست؟

این بیماران در ابتدا با تنگی نفس در حالت فعالیت مراجعه می کنند؛ ولی اگر تشخیص داده نشود و درمان شروع نشوند، بیماران با تنگی نفس در حالت استراحت، سرفه، خلط سفید و نیاز به مصرف اکسیژن مداوم مراجعه می کنند.

روش تشخیص بیماری

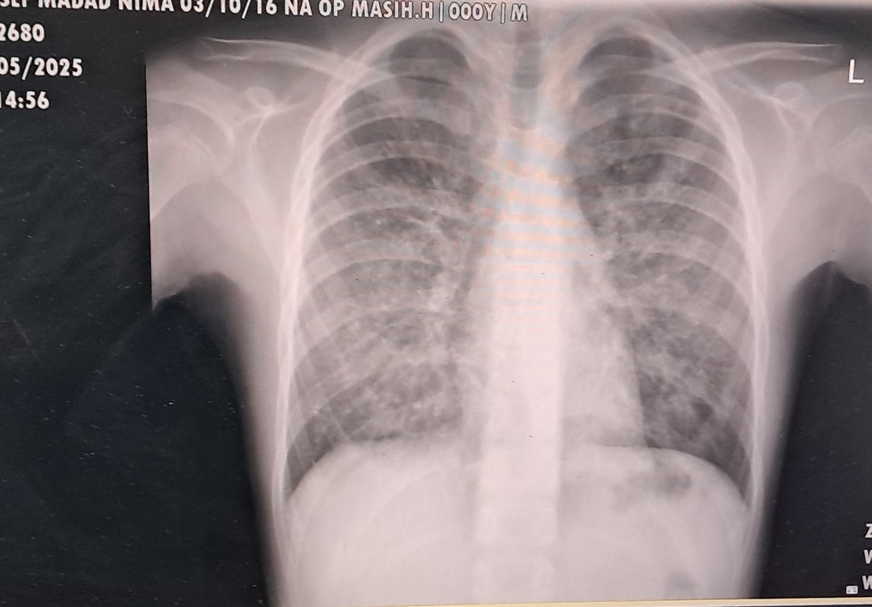
مانند دیگر بیماری های ریوی شدید ابتدا بیمار توسط متخصص ریه ویزیت می شود و از بیمار عکس ساده ریه و سپس سی تی اسکن گرفته می شود. در صورت تایید متخصص ریه بیمار برای انجام بیوپسی بافت ریه به جراح یا برونکوسکوپیست ارجاع داده می شود؛ در نتیجه، تشخیص قطعی بیمار توسط پاتولوژیست (بافت شناس) باید تأیید شده باشد.

آمادگی های قبل از انجام شستشوی کامل ریه ها در پروتئینوز ریوی

1. بستری در بیمارستان تخصصی ریه

2. بیمار از شب قبل ناشتا باشد

3. آزمایش گازهای خون انجام شود

4. انجام اسپیرومتری تست عملکرد ریه

5. انجام مشاوره و اکو قلب در تمام سنین الزامی است.

مراحل انجام شستشوی کامل ریه ها

1. بیهوشی کامل

2. تزریق آنتی بیوتیک های قوی

3. تهویه جداگانه ریه ها به وسیله لوله دومجرایی

4. شستشوی یک ریه با حدود ۱ لیتر سرم نمکی هر بار

5. فیزیوتراپی ریه با ویبراتور و پرکاشن

6. تغییر وضعیت بیمار در هر مرحله

7. تکرار این شستشو حدود ۱۰ بار برای هر ریه

8. جمع آوری محتویات لاواژ برای آزمایش‌های تکمیلی

9. در پایان لوله دو مجرایی خارج شده و لوله تک مجرایی گذاشته می شود و بیمار برای ادامه درمان به آی سی یو فرستاده می شود

لاواژ ریه

مراقبت در آی سی یو

بیمار حدود ۲۴ ساعت تحت تنفس مصنوعی در آی سی یو نگهداشته می شود و به تدریج از دستگاه تنفس مصنوعی جدا می شود که در این مدت بیمار همچنان آنتی بیوتیک قوی برای جلوگیری از عفونت دریافت می‌کند.

مراقبت های بیمار در مرحله بعد از ترخیص از بیمارستان

1. بیمار به مدت دو هفته همچنان تحت درمان دارویی برای جلوگیری از عفونت قرار می گیرد

2. برای اجتناب از عفونت های ویروسی بیمار برای حضور در مکان های عمومی و شلوغ از ماسک استفاده کند.

3. بیماران بعد از ترخیص از بیمارستان هر هفته تست ۶ دقیقه راه رفتن را در منزل انجام داده و نتیجه را به پزشک مربوطه اطلاع می دهد. در صورت اکسیژن خون کمتر از ۸۰ بیمار باید مجددا به متخصص ریه مراجعه کند.

مزایای شستشوی ریه

1. این روش درمانی در کشور ما در دسترس و قابل انجام است.

2. کیفیت زندگی بیمار بعد از لاواژ بهبود قابل توجه خواهد داشت و گاهی نیاز به مصرف اکسیژن نخواهد داشت.

معایب شستشوی ریه

1. شستشوی ریوی فقط در مراکز تخصصی ریه انجام می شود

2. زمان‌بر است و نیاز به حداقل یک هفته بستری است

آیا شستشوی ریه خطرناک است؟

1. خطر عمده شستشوی ریه احتمال عفونت است

2. در بیماران بد حال که نیاز به دستگاه اکسیژن رسانی برون پیکری ECMO دارند احتمال صدمات عروقی و خونریزی وجود دارد.

3. احتمال ورود مایعات از ریه در حال شستشو به ریه مقابل می‌تواند حین بیهوشی خطرناک باشد و به طرز خطرناکی میزان اکسیژن را کاهش دهد.

4. خونریزی ریوی به علت فیزیوتراپی می تواند از عوارض حین شستشوی ریه باشد.

5. ورود سرم از ریه به فضای جنب و نیاز به کارگذاری لوله سینه برای تخلیه آن.

شستشوی ریه برای چه سنی انجام می‌شود؟

1. شستشوی ریه برای تمام سنین انجام می‌شود.

2. انجام آن در افراد بالغ راحت تر و کم عارضه تر است.

3. لاواژ ریه در کودکان با مشکلات تکنیکی زیادی همراه است.

4. در بیماران بد حال و دچار نارسایی قلبی لاواژ ریه تحت جریان خون برون پیکری انجام می‌شود.

آیا شستشوی ریه نیاز به تکرار دارد؟

1. در یک سوم موارد بیمار بعد از یک تا دو بار شستشو بهبودی کامل خواهد داشت.

2. در یک سوم موارد نیاز به تکرار بیشتر با فواصل زمانی ۲ تا ۱۲ ماه است.

3. در یک سوم باقی مانده با وجود درمان و شستشو بیمار به سمت فیبروز ریه پیش می رود و دچار نارسایی تنفسی غیر قابل بازگشت می شود.

4. در بیماران مبتلا به نوع خود ایمنی بعد از لاواژ درمان دارویی خاص شروع می‌شود.

هزینه های شستشوی ریه چقدر است؟

شستشوی ریه در بیمارستان های تخصصی دانشگاهی انجام می‌شود و هزینه ها تحت پوشش بیمه ها قرار دارد.

نتیجه گیری

لاواژ ریه به عنوان روشی استاندارد و موثر در درمان بیماران مبتلا به پروتئینوز ریه شناخته شده است. لاواژ با روش های بیهوشی پیشرفته و نسبتا ایمن نتایج بسیار خوبی در درمان این بیماران نشان داده است. در کشورهای پیشرفته لاواژ ریه سال هاست جایگاه خوبی در درمان بیماران پروتئینوز ریه دارد.

مفتخریم که ایران جزو معدود کشورهایی است که لاواژ ریه در آن به صورت موفقیت آمیز توسط تیم تخصصی بیهوشی، ریه و آی سی یو انجام می‌شود.